Ventajas de la pronación en los pacientes con neumonía grave
![]() |
| Paciente en pronación https://www.intramed.net/contenidover.asp?contenidoid=96402 |
La membrana que separa la luz alveolar de los capilares circundantes es tan delgada que permite el intercambio pasivo de gases. Por diferencias de concentración, el dióxido de carbono se difunde hacia el aire y el oxígeno hacia la sangre. Sin embargo, dicho intercambio no se lleva a cabo con la misma intensidad en todas las partes del pulmón. Por regla general, la zona apical recibe más aire y menos sangre y en las bases ocurre lo contrario, un fenómeno ocasionado por influencia de la gravedad.
La presión hidrostática es aquella debida al peso de un líquido contra la estructura que lo contiene, existiendo el mayor punto de presión en la base, por lo que, cuando nos ponemos de pie, la mayor cantidad de sangre se concentra en las zonas bajas de los pulmones y en menor medida en la parte alta, no obstante, esta última recibe más aire. Atendiendo a esto se identificaron las denominadas “zonas de West”, según las cuales la región media es la de mejor intercambio.
![]() |
| Zonas de West https://commons.wikimedia.org/wiki/File:Fig_2._Zonas_de_West.png |
En el paciente grave, que generalmente se encuentra en decúbito supino, la zona posterior del tórax es la más cercana al suelo y, por tanto, la que recibe mayor presión hidrostática, contrario a lo que ocurre en las zonas anteriores (que se encuentran arriba), donde hay mucha menos sangre, pero más aire. Además, cuando existe una enfermedad pulmonar restrictiva (como la neumonía) hay tendencia al colapso alveolar, limitando la cantidad de aire que pueden albergar. En ocasiones, solo se da el intercambio en un cuarto del pulmón. Es en esta situación cuando tiene sentido la pronación.
Acostar al paciente de cara al suelo invierte la carga hidrostática, permitiendo que las zonas peor perfundidas reciban más sangre y que las zonas peor ventiladas reciban más aire, optimizando la relación ventilación/perfusión. No obstante, dicha terapia no debería permanecer inmutable en el tiempo, debido a que la presión hidrostática volverá a limitar la relación ventilación/perfusión. Se recomienda alternar prono/supino al menos cada 12 horas.
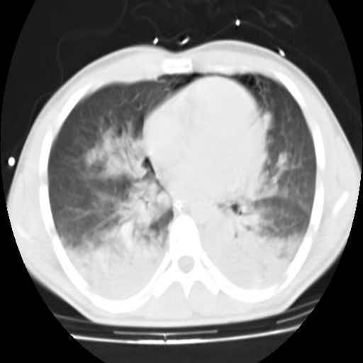
![]() |
| Predominio de las opacidades en la región pulmonar posterior en un paciente con neumonía grave https://remi.uninet.edu/2004/07/REMIC21.htm |
palabras clave: fisiologia de la pronacion, pronar los pacientes en ventilacion mecanica, tecnica de pronacion, pronar pacientes con covid-19, tecnica de pronacion para pacientes con covid19, como pronar a pacientes con neumonia, como pronar a pacientes con coronavirus



Estos son las cosas que
ResponderBorrarme gusta consultar para sacar nuevas ideas de mitigar problemas
Gracias por tu comentrio, Kimberly. Un placer ayudarte.
Borrar